Table of Contents



Washington University Experience | NEOPLASMS (NEURONAL) | Ganglioglioma | 20A6 Ganglioglioma (Case 20) H&E 4

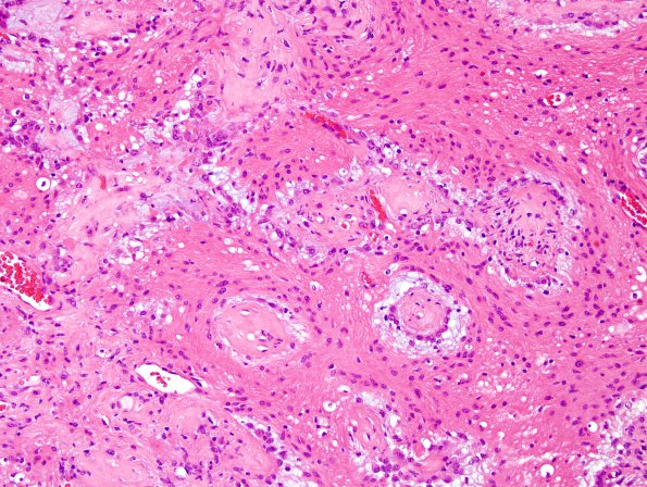
20A6 Ganglioglioma (Case 20) H&E 4
There appear to be islands of neoplastic tissue, loosely divided into glial and neuronal elements (H&E)


Gallery RSS RSS Feed | Archive View | Login | Powered by Zenphoto