Table of Contents
Washington University Experience | NEOPLASMS (NEURONAL) | Ganglioglioma | 21B1 Ganglioglioma (Case 21) H&E 8
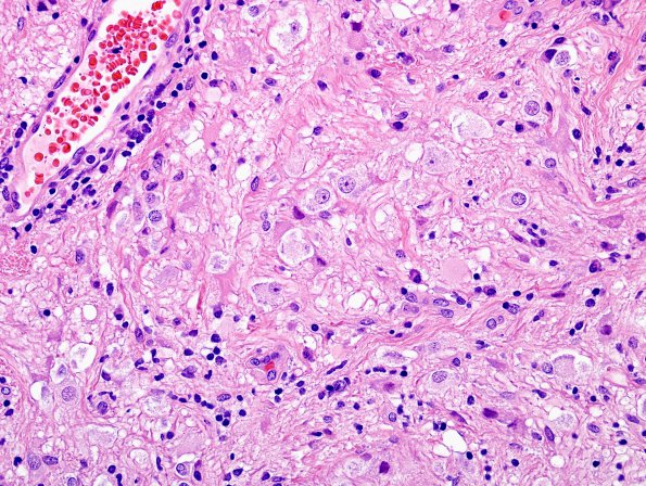
21B1-4 The resected tumor consists of cells with irregular elongate hyperchromatic nuclei, little or no discernible cytoplasm, and appear within a fibrillar parenchyma that is predominantly located within the internal white matter of the cerebellar cortex. However, admixed with these cells in the white matter is another cell population with large dysmorphic neuronal/ganglionic cell features including binucleation, granular amphophilic cytoplasm eccentrically placed nuclei, and a centrally-located nucleolus. Other fragments represent a ~6mm nodule populated largely by ganglion cells with round eccentric nuclei, open chromatin, centrally located nucleoli, and ample finely granular amphophilic cytoplasm. These ganglion cells appear within a reticulated network of vacuolated parenchyma, separated by thick bundles of vessel-associated cell processes that are increasingly hyalinized/collagenized toward the center of the nodule. Some of these vessel-associated bundles show cuffing by lymphocytes. Mitotic figures are identified within the ganglion cell population, but these appear at low density (<1/10HPF). Adjacent to this nodule, tumor tissue morphologically consistent with canonical pilocytic astrocytoma is noted.
