Table of Contents
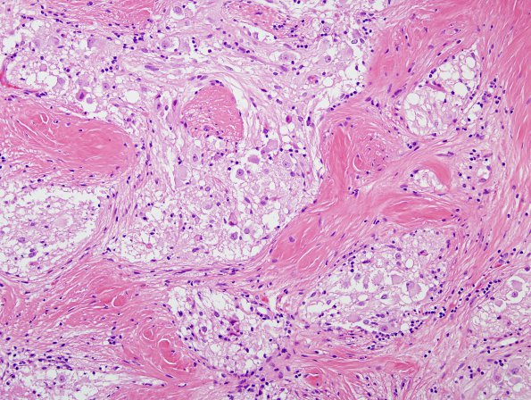
Washington University Experience | NEOPLASMS (NEURONAL) | Ganglioglioma | 21B4 Ganglioglioma (Case 21) H&E 2
In this unusual growth pattern ganglion cells/neurocytes occupy the interstices between bands of glial processes and collagen
