Table of Contents



Washington University Experience | NEOPLASMS (NEURONAL) | Ganglioglioma | 21D3 Ganglioglioma (Case 21) GFAP 3

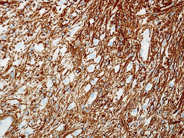
21D3 Ganglioglioma (Case 21) GFAP 3
More confluent glial areas consist of sheets of spindled elements (GFAP IHC)


Gallery RSS RSS Feed | Archive View | Login | Powered by Zenphoto