Table of Contents
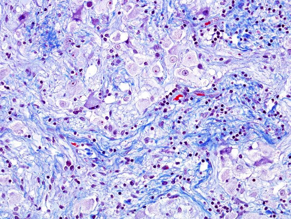
Washington University Experience | NEOPLASMS (NEURONAL) | Ganglioglioma | 21E Ganglioglioma (Case 21) Trichrome 4
Collagen deposits are predominantly within the glial tumor seams (Trichrome) ---- Comment: This histomorphological pattern is that of ganglioglioma, WHO grade I. Ganglioglioma is often heterogeneous and, not uncommonly, exhibits a glioma component that is morphologically indistinguishable from pilocytic astrocytoma. In this particular case, the first (partial) resection of this tumor did not include a diagnostic ganglion cell component, and received the diagnosis of pilocytic astrocytoma, WHO grade I.'
