Table of Contents



Washington University Experience | NEOPLASMS (NEURONAL) | Ganglioglioma | 22A3 Ganglioglioma (Case 22) H&E 2

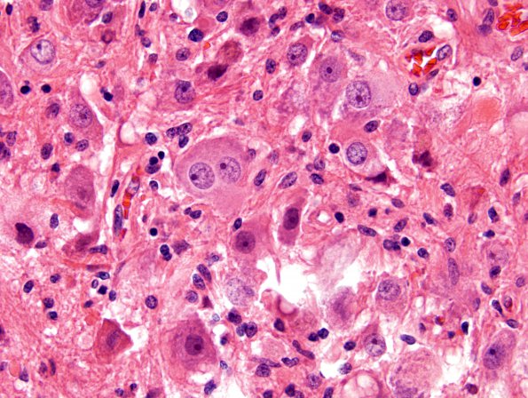
22A3 Ganglioglioma (Case 22) H&E 2
High magnification image of binucleate neuron. (H&E)


Gallery RSS RSS Feed | Archive View | Login | Powered by Zenphoto