Table of Contents
Washington University Experience | NEOPLASMS (NEURONAL) | Ganglioglioma | 23A1 Ganglioglioma (Case 23) T2 FLAIR 2
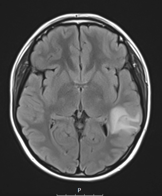
Case 23 History ---- The patient is a 21yo female with a history of a low-grade glioneuronal neoplasm discovered at an outside hospital after presenting with new-onset seizures. ---- 23A1-4 ---- 23A1 There is a hyperintense signal on this FLAIR examination.
