Table of Contents
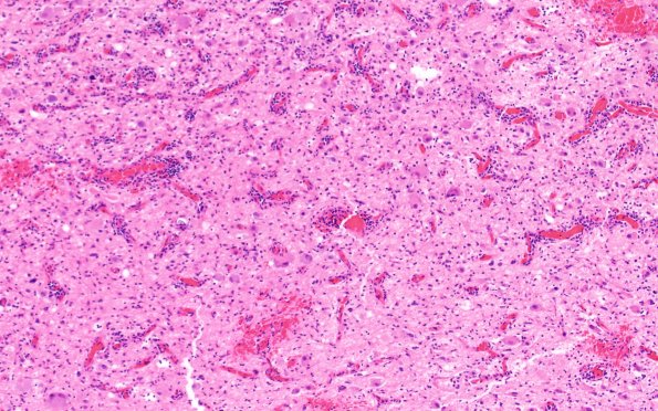
Washington University Experience | NEOPLASMS (NEURONAL) | Ganglioglioma | 23B3 Ganglioglioma (Case 23) B2 H&E 10X
H&E stained sections show a biphasic, low-grade neoplasm with glial and neuronal elements. The glial component is composed of minimally pleomorphic ovoid cells with indistinct borders and a small amount of lightly eosinophilic cytoplasm. (H&E)
