Table of Contents
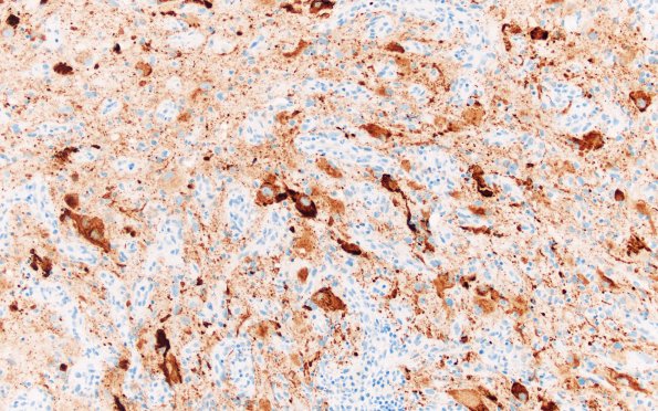
Washington University Experience | NEOPLASMS (NEURONAL) | Ganglioglioma | 23D1 Ganglioglioma (Case 23) D1 CHR 20X
23D1,2 A chromogranin stain more selectively stains ganglion cells and neurocytes but labels neuropil as well. (CHR IHC)
