Table of Contents
« prev
next »
Washington University Experience
|
NEOPLASMS (NEURONAL)
|
Ganglioglioma
|
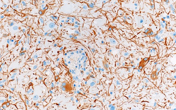
23E2 Ganglioglioma (Case 23) NF 40X 1
Neurofilament immunoreactivity stains axons in the neuropil as well as binucleate neuron cell bodies. (NF IHC)
Image Info
Camera Maker:
Olympus
Camera Model:
DP74
Shutter Speed:
27/6250 sec
Metering Mode:
Multi-Spot
Gallery RSS
|
Archive View
|
Login
|
Powered by
Zenphoto