Table of Contents
« prev
next »
Washington University Experience
|
NEOPLASMS (NEURONAL)
|
Ganglioglioma
|
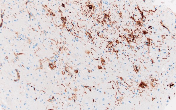
23I2 Ganglioglioma (Case 23) D1 CD34 20X 1
CD34 highlights vascular walls and scattered ramified processes around some small tumor cells. (CD34 IHC).
Image Info
Camera Maker:
Olympus
Camera Model:
DP74
Shutter Speed:
43/50000 sec
Metering Mode:
Multi-Spot
Gallery RSS
|
Archive View
|
Login
|
Powered by
Zenphoto