Table of Contents
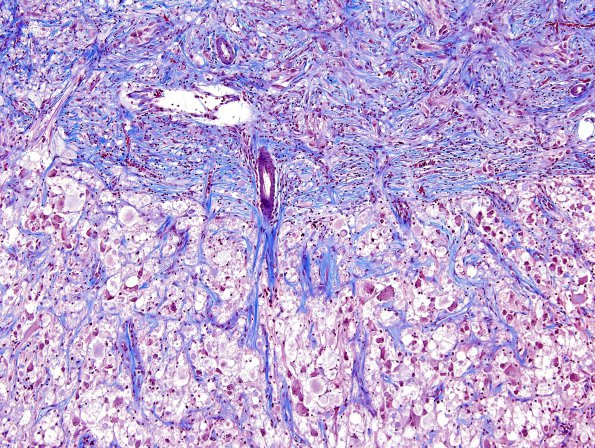
Washington University Experience | NEOPLASMS (NEURONAL) | Ganglioglioma | 8G1 Ganglioglioma (Case 8) Trichrome 6
8G1-3 A trichrome stain highlights the overlying leptomeningeal invasion and fibrosis which extends along the Virchow-Robin spaces and strikingly identifies eosinophilic granular bodies
