Table of Contents
Washington University Experience | NEOPLASMS (NEURONAL) | Lhermitte-Duclos Disease | 2B10 Lhermitte-Duclos (Case 2) H&E 5.jpg
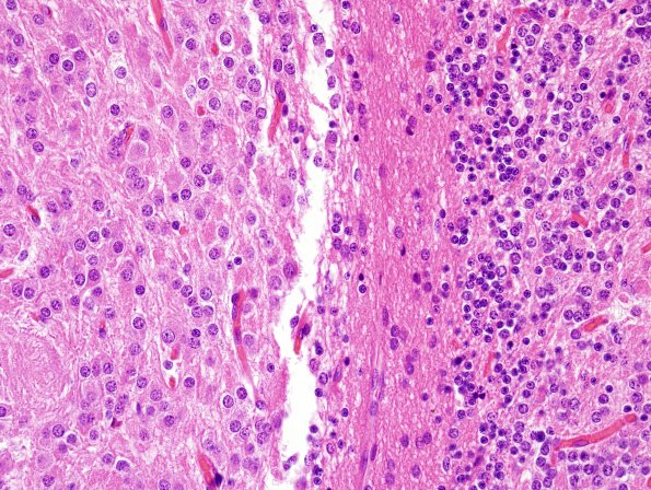
Higher magnification images showing an artificial separation of the dysplastic granule cell layer from an adjacent white matter tract (H&E)
