Table of Contents
Washington University Experience | NEOPLASMS (NEURONAL) | Lhermitte-Duclos Disease | 2F4 Lhermitte-Duclos (Case 2) B4 LFB-PAS 4.jpg
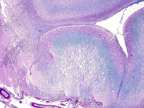
An LFB-PAS stain for myelin shows an abnormal myelin blue pattern with variable staining of the molecular layer, normally this area has limited myelin staining.
