Table of Contents
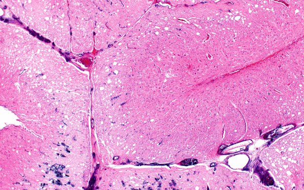
Washington University Experience | NEOPLASMS (NEURONAL) | Lhermitte-Duclos Disease | 4A3 Lhermitte-Duclos (Case 4) H&E 4X
4A3,4 Higher magnification views show the elements previously described without labels. The superficial portions of the folia below the pia show numerous perivascular calcifications. (H&E)
