Table of Contents
« prev
next »
Washington University Experience
|
NEOPLASMS (NEURONAL)
|
Lhermitte-Duclos Disease
|
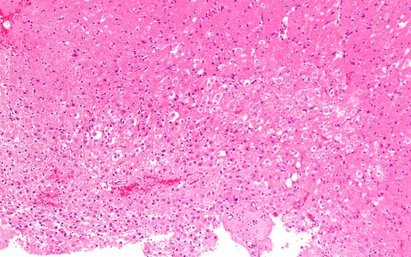
5A2 Lhermitte-Duclos Dz (Case 5) H&E 10X 1
5A2,3 Higher magnification of the dysplastic granule cell layer.
Image Info
Camera Maker:
Olympus
Camera Model:
DP74
Shutter Speed:
14/27451 sec
Metering Mode:
Multi-Spot
Gallery RSS
|
Archive View
|
Login
|
Powered by
Zenphoto