Table of Contents
Washington University Experience | NEOPLASMS (NEURONAL) | Multinodular Vacuolating Neuronal Tumor | 2A2 MVNT (Case 2) T1noC - Copy
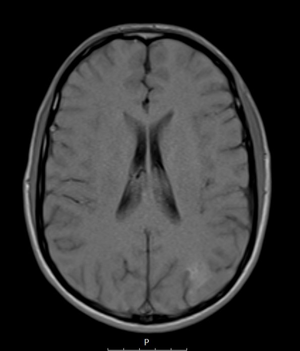
2A2,3 The lesion shows minimal intensity in this T1-weighted scan without (2A2) and with (2A3) contrast.
