Table of Contents
« prev
next »
Washington University Experience
|
NEOPLASMS (NEURONAL)
|
Multinodular Vacuolating Neuronal Tumor
|
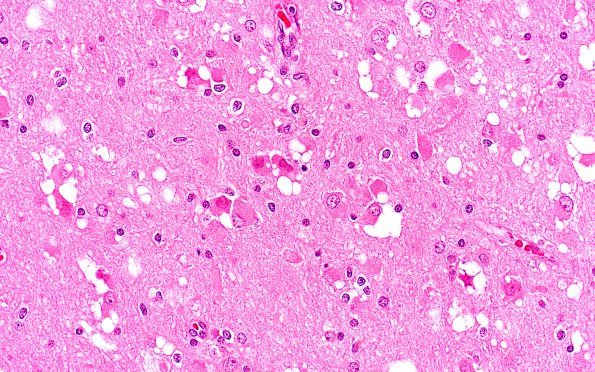
2B6 MVNT (Case 2) B2 H&E 40X 1
2B6-9 Various magnifications of vacuolated neurons. (H&E)
Image Info
Camera Maker:
Olympus
Camera Model:
DP74
Shutter Speed:
32/7767 sec
Metering Mode:
Multi-Spot
Gallery RSS
|
Archive View
|
Login
|
Powered by
Zenphoto