Table of Contents
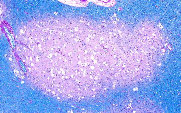
Washington University Experience | NEOPLASMS (NEURONAL) | Multinodular Vacuolating Neuronal Tumor | 2C2 MVNT (Case 2) B3 LFB-PAS 10X 2
The relationship of nodules to the surrounding white matter is well seen in this LFB-PAS preparation
