Table of Contents
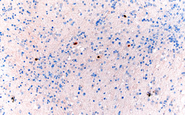
Washington University Experience | NEOPLASMS (NEURONAL) | Multinodular Vacuolating Neuronal Tumor | 2G2 MVNT (Case 2) B3 NeuN 20X 3
Although the overlying cortex is heavily NeuN immunoreactive, the subcortical nodules are largely unlabeled (NeuN IHC)
