Table of Contents
Washington University Experience | NEOPLASMS (NEURONAL) | Multinodular Vacuolating Neuronal Tumor | 3A1 MVNT (Case 3) T2 FLAIR copy - Copy
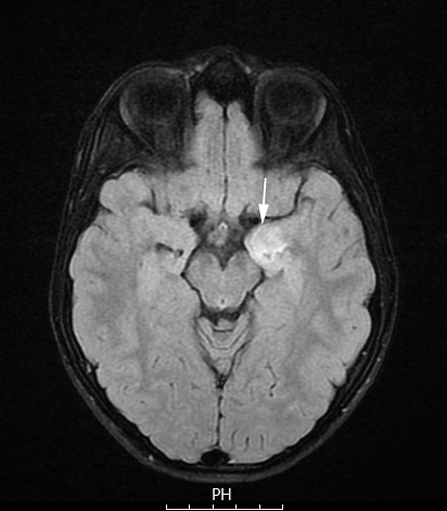
Case 3 History ---- The patient is an 11-year-old boy with alpha-gal syndrome who presented in August 2025 with headache, dizziness, fatigue, tinnitus, visual changes, light sensitivity, acute-on-chronic abdominal pain, weight loss, and difficulty swallowing liquids, and was incidentally found to have a small pituitary cyst and a left medial temporal lesion on MRI. Operative Procedure: Left-sided craniotomy for resection of medial temporal lobe tumor. ---- 3A1 The medial temporal lobe lesion is hyperintense (arrow) on this FLAIR scan.
