Table of Contents
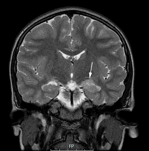
Washington University Experience | NEOPLASMS (NEURONAL) | Multinodular Vacuolating Neuronal Tumor | 3A2 MVNT (Case 3) T2 NoC copy - Copy
The lesion is slightly more intense on this coronal T2-weighted non-contrast scan. In some cases the scan has a more nodular appearance.
