Table of Contents
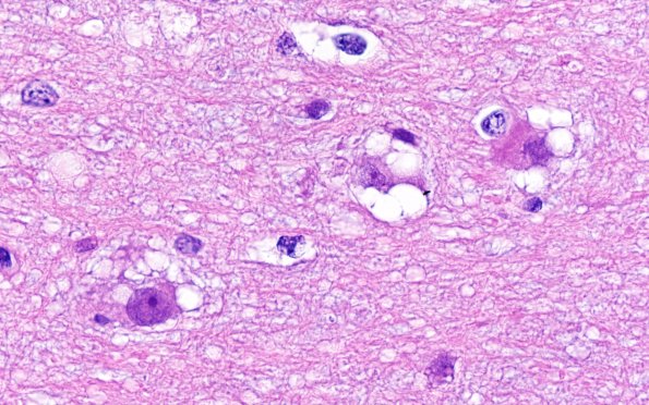
Washington University Experience | NEOPLASMS (NEURONAL) | Multinodular Vacuolating Neuronal Tumor | 3B12MVNT (Case 3) H&E 100X 8
Astrocytes have a gemistocytic or fibrillary appearance in these high magnification images. The vacuolation of these neurons remind me of the olivary hyperplasia alteration sometimes designated “mulberry-like”. (H&E)
