Table of Contents
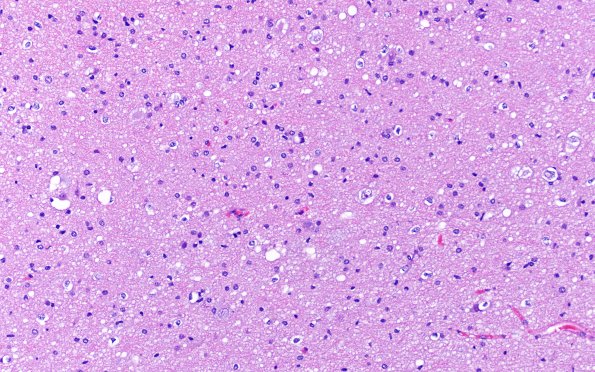
Washington University Experience | NEOPLASMS (NEURONAL) | Multinodular Vacuolating Neuronal Tumor | 3B2 MVNT (Case 3) H&E 20X
The neurosurgical specimen was received in small fragments which interferes with the interpretation of nodularity. H&E-stained sections show fragments of cortex with scattered ganglion-like and oligo-like cells. The vacuolation involves neurons and neuropil seen even at lower magnifications. Nuclear atypia is mild. (H&E)
