Table of Contents
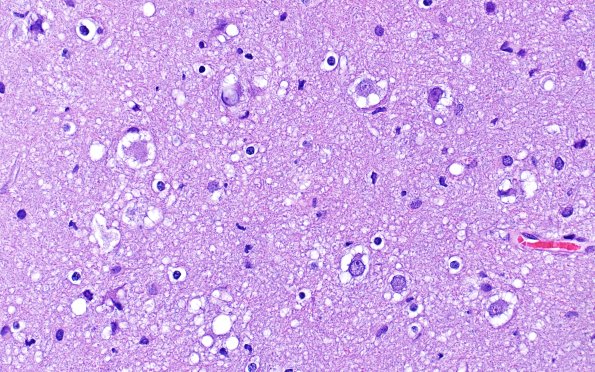
Washington University Experience | NEOPLASMS (NEURONAL) | Multinodular Vacuolating Neuronal Tumor | 3B4 MVNT (Case 3) B H&E 40X 1
H&E-stained sections show focal involvement by a low-grade neoplasm consisting predominantly of atypical neurons embedded in a coarse, fibrillar neuropil-like matrix with reactive-appearing changes (e.g., microglial activation) and conspicuous microvacuolar changes both in the background neuropil and in the cytoplasm of the atypical neurons.
