Table of Contents
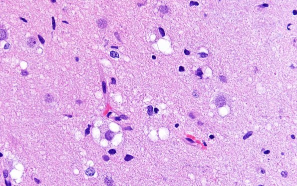
Washington University Experience | NEOPLASMS (NEURONAL) | Multinodular Vacuolating Neuronal Tumor | 3B5B MVNT (Case 3) B1 H&E 60X
Although apparent vacuolation is common in various brain preparations the discrete spherical vacuoles in these neurons is distinctly unusual. (H&E)
