Table of Contents
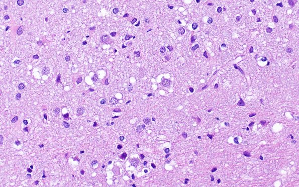
Washington University Experience | NEOPLASMS (NEURONAL) | Multinodular Vacuolating Neuronal Tumor | 3B7MVNT (Case 3) H&E 40X 2
The numbers of involved neurons is impressive in these images and the participation of astrocytes and microglia is appreciated. (H&E)
