Table of Contents
Washington University Experience | NEOPLASMS (NEURONAL) | Multinodular Vacuolating Neuronal Tumor | 3B9 MVNT (Case 3) H&E 100X 1
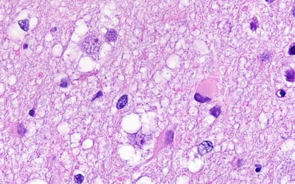
3B9-12 Astrocytes have a gemistocytic or fibrillary appearance in these high magnification images. The vacuolation of these neurons remind me of the olivary hyperplasia alteration sometimes designated “mulberry-like”. (H&E)
