Table of Contents
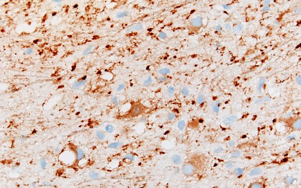
Washington University Experience | NEOPLASMS (NEURONAL) | Multinodular Vacuolating Neuronal Tumor | 3C7 MVNT (Case 3) SYN 40X 1
3C7-9 In other areas the neuropil is coarse and more limited allowing the vacuolated neuronal cell bodies to be better appreciated. (SYN IHC)
