Table of Contents
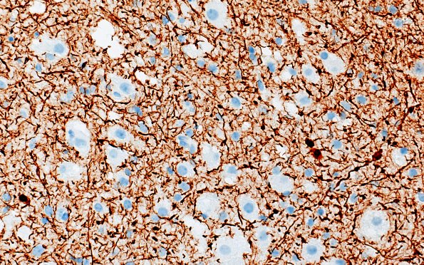
Washington University Experience | NEOPLASMS (NEURONAL) | Multinodular Vacuolating Neuronal Tumor | 3E1 MVNT (Case 3) B6 NF 40X 3
3E1-3 The neuropil stains strongly for axons as well as clusters of processes in image #3E3 (arrow). The neurofilament cocktail used at BJH is more focused on the highly phosphorylated high molecular weight epitopes and stains neuronal cell bodies less. (NF IHC)
