Table of Contents
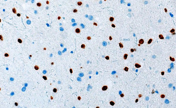
Washington University Experience | NEOPLASMS (NEURONAL) | Multinodular Vacuolating Neuronal Tumor | 3G2 MVNT (Case 3) B6 Olig2 40X 2A
Olig2 also stains a population of elements within the lesions (Olig2 IHC) ---- Not shown: Tumor cells are negative for IDH1 (R132H) and BRAF (V600E). ATRX nuclear expression is retained, and p53 shows only rare faint reactivity. The Ki-67 proliferation index is low and marks rare cells (<1%). Fluorescence in situ hybridization studies are negative for 1p/19q deletion. ---- Next-generation sequencing performed at Caris revealed a pathogenic mutation in the MAP2K1 (MEK1) gene (p.Q56_V60del; c.165_179del15). The collective findings are consistent with a low-grade glial/glioneuronal tumor harboring a MAP2K1 (MEK1) mutation by molecular studies, most consistent with multinodular and vacuolating neuronal tumor (MVNT), WHO CNS grade 1.
