Table of Contents



Washington University Experience | NEOPLASMS (NEURONAL) | Paraganglioma - Cauda Equina Neuroendocrine Tumor | 11A5 Paraganglioma GGL Diffn (AANP 2003-Case 2) H&E 3

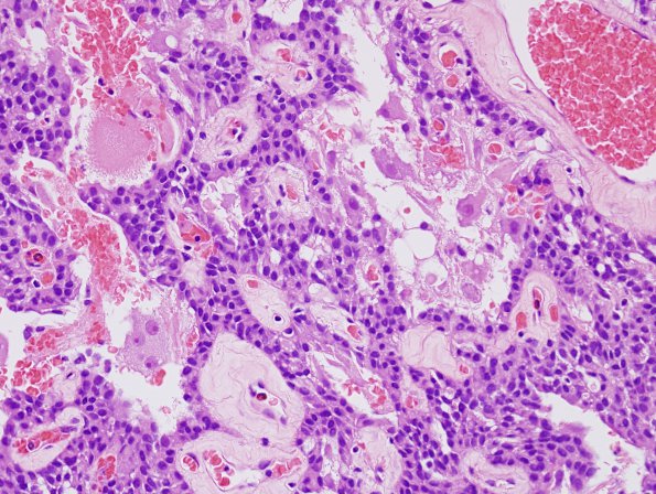
11A5 Paraganglioma GGL Diffn (AANP 2003-Case 2) H&E 3
In this area there is an admixture of elements. (H&E)


Gallery RSS RSS Feed | Archive View | Login | Powered by Zenphoto