Table of Contents
« prev
next »
Washington University Experience
|
NEOPLASMS (NEURONAL)
|
Paraganglioma - Cauda Equina Neuroendocrine Tumor
|
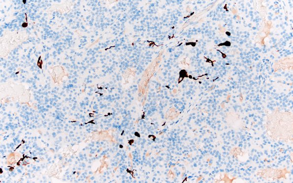
13C3 Paraganglioma (Case 13) S100 20X 2
S100 immunoreactivity is surprisingly minimal. (S100 IHC)
Image Info
Camera Maker:
Olympus
Camera Model:
DP74
Shutter Speed:
43/50000 sec
Metering Mode:
Multi-Spot
Gallery RSS
|
Archive View
|
Login
|
Powered by
Zenphoto