Table of Contents
« prev
next »
Washington University Experience
|
NEOPLASMS (NEURONAL)
|
Paraganglioma - Cauda Equina Neuroendocrine Tumor
|
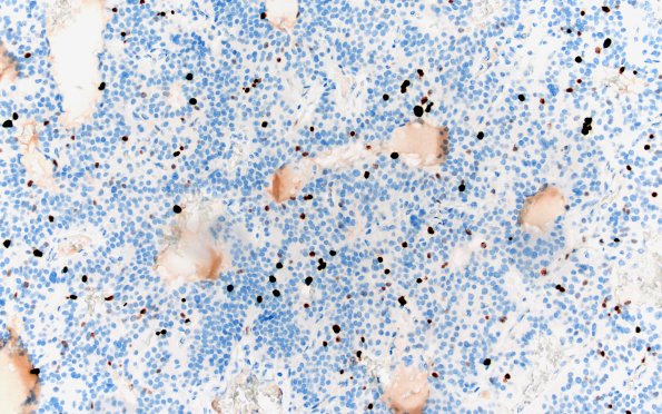
13D1 Paraganglioma (Case 13) Ki67 20X
19D1,2 The Ki67 proliferation index is 5-10%.
Image Info
Camera Maker:
Olympus
Camera Model:
DP74
Shutter Speed:
33/50000 sec
Metering Mode:
Multi-Spot
Gallery RSS
|
Archive View
|
Login
|
Powered by
Zenphoto