Table of Contents
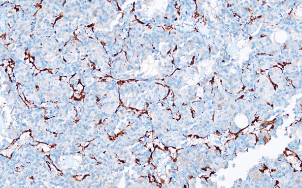
Washington University Experience | NEOPLASMS (NEURONAL) | Paraganglioma - Cauda Equina Neuroendocrine Tumor | 1E3 Paraganglioma, gangliocytic (Case 1) S100 4
S-100 highlights sustentacular cells that are represented regionally and border the organoid (“zellballen”) architecture. (S100 IHC)
