Table of Contents
« prev
next »
Washington University Experience
|
NEOPLASMS (NEURONAL)
|
Paraganglioma - Cauda Equina Neuroendocrine Tumor
|
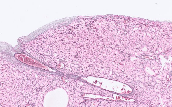
1F1 Paraganglioma, gangliocytic (Case 1) Retic 2X 2
1F1,2 Reticulin highlights the zellballen.
Image Info
Camera Maker:
Olympus
Camera Model:
DP74 #1
Shutter Speed:
14/27451 sec
Metering Mode:
Average
Gallery RSS
|
Archive View
|
Login
|
Powered by
Zenphoto