Table of Contents
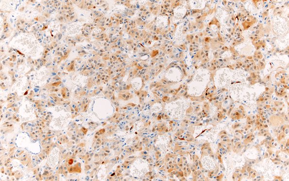
Washington University Experience | NEOPLASMS (NEURONAL) | Paraganglioma - Cauda Equina Neuroendocrine Tumor | 3D2 Paraganglioma (Case 3) 1 S100 10X
Immunoreactivity for S100 protein stains a subset of the chief cells, as well as some smaller tumor cells with slender processes, consistent with sustentacular cells.
