Table of Contents
Washington University Experience | NEOPLASMS (NEURONAL) | Paraganglioma - Cauda Equina Neuroendocrine Tumor | 8A2 Paraganglioma (Case 8) H&E 2.jpg
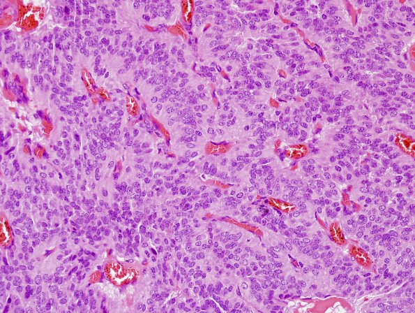
Sections reveal a moderately cellular and highly vascular tumor surrounded by a thin fibrous capsule. The tumor cells are epithelioid and arranged in small nests and perivascular aggregates. They contain round to oval nuclei with salt and pepper chromatin and moderate quantities of eosinophilic cytoplasm.
