Table of Contents



Washington University Experience | NEOPLASMS (NEURONAL) | Rosette-Forming Glioneuronal Tumor (RGNT) | 3D5 RGNT (Case 3) SYN 15

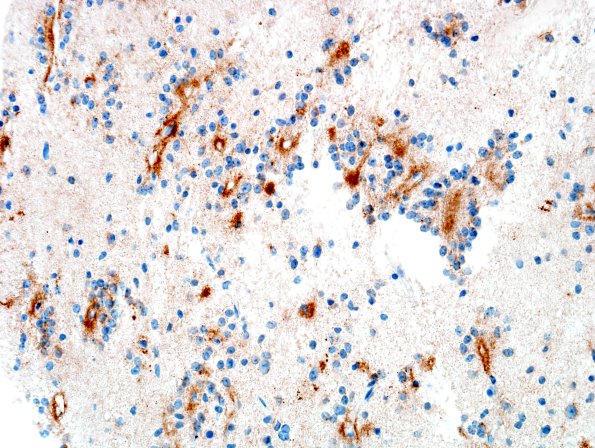
3D5 RGNT (Case 3) SYN 15
Mostly perivascular pseudorosette. (SYN IHC)


Gallery RSS RSS Feed | Archive View | Login | Powered by Zenphoto