Table of Contents
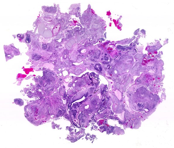
Washington University Experience | NEOPLASMS (NON-GLIAL NON-NEURONAL) | Germ Cell Neoplasm – Teratoma | 1A2 Teratoma, immature (Case 1) H&E WM
A whole mount of the neurosurgical specimen shows its variegated constituent tissues, particular the primitive central neuroepithelial elements. (H&E)
