Table of Contents
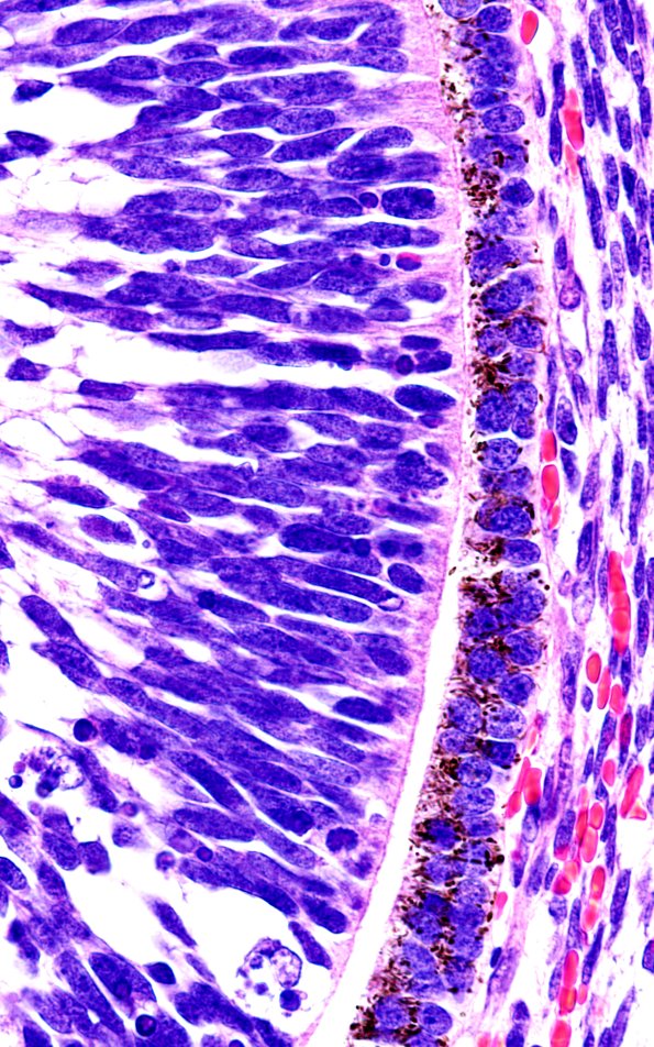
Washington University Experience | NEOPLASMS (NON-GLIAL NON-NEURONAL) | Germ Cell Neoplasm – Teratoma | 1I5 Teratoma, immature (Case 1) H&E 100X
The thin pigmented layer represents the developing retinal pigment epithelium. (H&E)
