Table of Contents
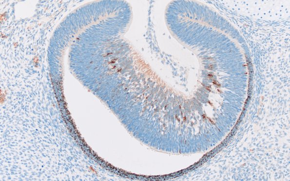
Washington University Experience | NEOPLASMS (NON-GLIAL NON-NEURONAL) | Germ Cell Neoplasm – Teratoma | 1K1 Teratoma, immature (Case 1 SYN 20X 4
1K1-3 Synaptophysin stains the terminal aspects of presumed rods and cones (arrowhead, 1K2).
