Table of Contents
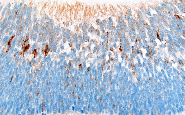
Washington University Experience | NEOPLASMS (NON-GLIAL NON-NEURONAL) | Germ Cell Neoplasm – Teratoma | 1K3 Teratoma, immature (Case 1) SYN 60X 2
Synaptophysin stains the terminal aspects of presumed rods and cones (arrowhead, 1K2).
