Table of Contents
Washington University Experience | NEOPLASMS (NON-GLIAL NON-NEURONAL) | Germ Cell Neoplasm – Teratoma | 1K4 Teratoma, immature (Case 1) SYN 60X 3
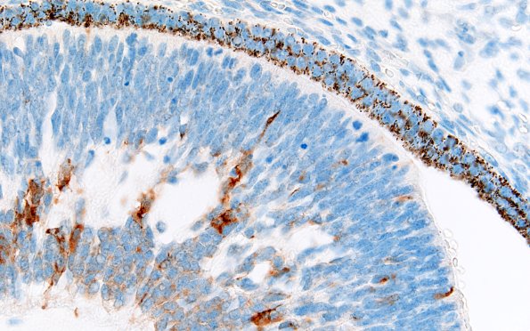
The pigmented portion of the retinal pigment epithelium is also shown in this focus. (SYN IHC)
