Table of Contents
« prev
next »
Washington University Experience
|
NEOPLASMS (NON-GLIAL NON-NEURONAL)
|
Germ Cell Neoplasm – Teratoma
|
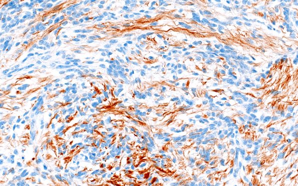
1N3B Immature teratoma (Case 1) NF 40X 2
The same area stained for neurofilaments shows more limited staining. (NF IHC)
Image Info
Camera Maker:
Olympus
Camera Model:
DP74
Shutter Speed:
19/4000 sec
Metering Mode:
Multi-Spot
Gallery RSS
|
Archive View
|
Login
|
Powered by
Zenphoto