Table of Contents
« prev
next »
Washington University Experience
|
NEOPLASMS (NON-GLIAL NON-NEURONAL)
|
Germ Cell Neoplasm – Teratoma
|
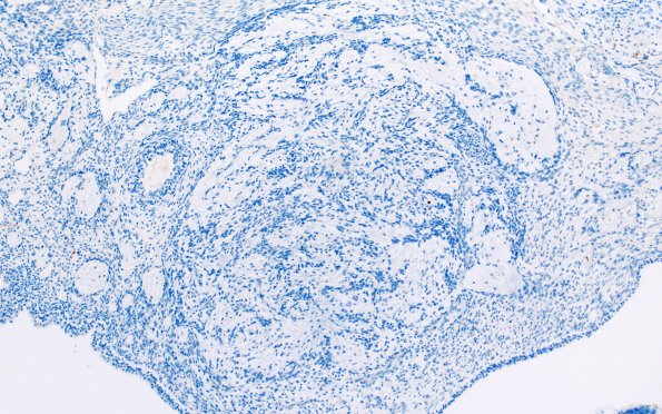
1N4A Immature teratoma (Case 1) GFAP 10X 2
1N4A,B In this focus there is minimal GFAP reactivity in astrocytes. (GFAP IHC)
Image Info
Camera Maker:
Olympus
Camera Model:
DP74
Shutter Speed:
14/27451 sec
Metering Mode:
Multi-Spot
Gallery RSS
|
Archive View
|
Login
|
Powered by
Zenphoto