Table of Contents
« prev
next »
Washington University Experience
|
NEOPLASMS (NON-GLIAL NON-NEURONAL)
|
Germ Cell Neoplasm – Teratoma
|
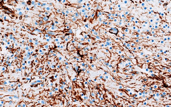
1P4 Teratoma, immature (Case 1) GFAP 40X
Higher magnification of image #1P3B. (GFAP IHC).
Image Info
Camera Maker:
Olympus
Camera Model:
DP74
Shutter Speed:
1/250 sec
Metering Mode:
Multi-Spot
Gallery RSS
|
Archive View
|
Login
|
Powered by
Zenphoto