Table of Contents
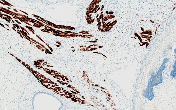
Washington University Experience | NEOPLASMS (NON-GLIAL NON-NEURONAL) | Germ Cell Neoplasm – Teratoma | 1T2 Teratoma, immature (Case 1) Desmin 10X
Desmin immunoreactivity demonstrates the distribution of muscle elements (Desmin IHC)
