Table of Contents
Washington University Experience | NEOPLASMS (NON-GLIAL NON-NEURONAL) | Germ Cell Neoplasm - Choriocarcinoma | 1B4 Choriocarcinoma (Case 1) 2
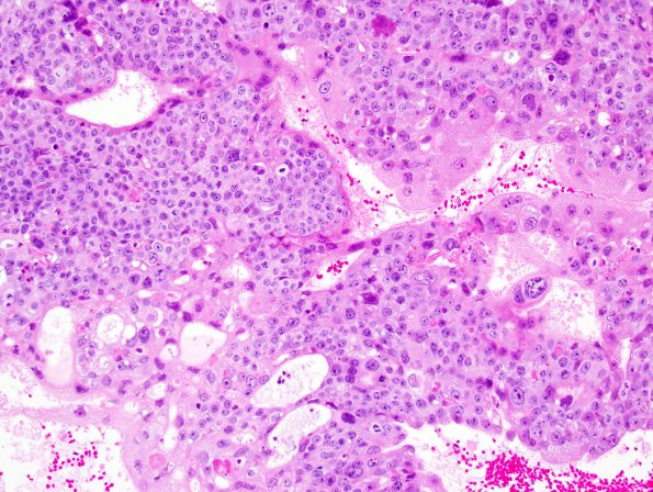
Intimate mixture of cytotrophoblasts and syncytiotrophoblasts which vary in density from site to site. (H&E)
