Table of Contents
Washington University Experience | NEOPLASMS (NON-GLIAL NON-NEURONAL) | Germ Cell Neoplasm - Germinoma | 10A3 Germinoma, reaction (Case 10) Pineal H&E 20X copy
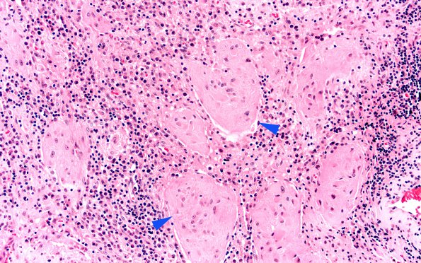
The border with the brain shows islands of gliotic parenchyma (arrowheads) surrounded by tumor and reaction (H&E)
